Seja bem vindo a JF Implantes

Transformamos sorrisos, devolvemos a sua confiança!

Avaliações no Google
+ 0

Sobre a JF Implantes

A JF Implantes é referência em implantes dentários em Juiz de Fora e região. Contamos com uma equipe altamente especializada, mais de 1000 implantes realizados e um compromisso inabalável com a autoestima e qualidade de vida dos nossos pacientes. Nosso diferencial está no atendimento humanizado, na tecnologia de ponta e no cuidado em cada detalhe do seu sorriso.

+ 0

anos de experiência

Como nós trabalhamos

Na JF Implantes, cada tratamento é planejado com precisão, segurança e tecnologia de ponta. Seguimos um processo estruturado para garantir os melhores resultados, desde a avaliação inicial até o acompanhamento pós-tratamento.

1

Consulta e Avaliação Personalizada

Analisamos seu caso com exames precisos e planejamos o melhor tratamento.

2

Planejamento Digital

Utilizamos tecnologia avançada para previsão de resultados e maior precisão nos procedimentos.

3

Implante Dentário com Tecnologia Avançada

Utilizamos técnicas modernas e equipamentos de última geração para um procedimento seguro e eficiente.

4

Acompanhamento Contínuo

Nossa equipe acompanha cada etapa do seu tratamento para garantir os melhores resultados.

Prótese Protocolo

Se você perdeu todos os dentes ou utiliza dentaduras móveis e busca uma solução definitiva, a Prótese Protocolo pode transformar sua vida. Esse procedimento consiste em uma prótese fixa sobre implantes dentários, proporcionando um sorriso natural, estável e funcional, sem os incômodos das próteses removíveis.

Fixa e Confortável

Sem movimentação ou necessidade de adesivos, garantindo segurança.

Rápido e Seguro

Técnica moderna que permite a reabilitação completa em menos tempo.

Estética Natural

Um sorriso harmônico e alinhado, feito sob medida para você.

Custo-Benefício

Solução durável e de alto valor funcional comparada às dentaduras tradicionais.

Nossa Equipe

Dr. Rodrigo Pancoti

Dr. Rodrigo Pancoti

Sócio | Gestor Comercial | Avaliador | Implantodontista | Periodontista

Dr. Eduardo Badaró

Dr. Eduardo Badaró

Sócio | Gestor Financeiro | Ortodontista

Dr. Ernesto Rodrigues

Dr. Ernesto Rodrigues

Sócio | Mestre em Dentística | Ortodontista

Dra. Ana Clara Miranda

Dra. Ana Clara Miranda

Protesista

Dr. Alysson Bastos

Dr. Alysson Bastos

Avaliador | Clínico Geral | Implantodontia

Dra. Daniella Miranda

Dra. Daniella Miranda

Implantodontista

Dra. Mônica Pancoti

Dra. Mônica Pancoti

Implantodontista | Protesista

Dra. Camylla Porto

Dra. Camylla Porto

Ortodontista

Equipe Qualificada

Equipe Qualificada

Seu sorriso em boas mãos

O que nossos clientes dizem

JF Implantes na mídia

Especialistas com Experiência Comprovada

0 %
0%

Tecnologia de Ponta para Máxima Precisão

0 %
0%

Atendimento Humanizado e Personalizado

0 %
0%

Não adie o sorriso que você merece!

Agende agora mesmo a sua avaliação e transforme sua vida com a JF Implantes.

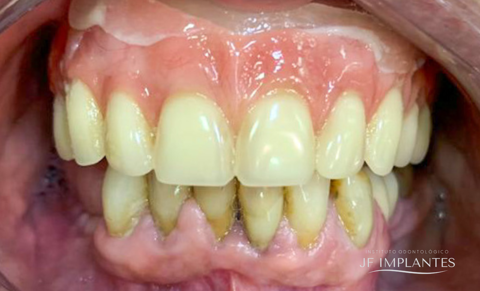
Fotos e depoimentos dos nossos pacientes

Na JF Implantes, cada paciente tem uma história única, e nosso maior orgulho é fazer parte da transformação de cada sorriso. Nesta seção, apresentamos imagens reais dos resultados incríveis que conquistamos, mostrando como nossos tratamentos restauram a estética, a função e a autoconfiança de quem confia no nosso trabalho.

0

Avaliação máxima no Google

Sorrisos Renovados, Autoestima Transformada!

Estamos prontos para cuidar do seu sorriso!

Fale conosco para agendar sua avaliação e tirar todas as suas dúvidas. Entre em contato via telefone, WhatsApp ou visite nossa clínica em Juiz de Fora.

Sorrisos Renovados, Autoestima Transformada!

Copyright © 2025 • Todos os direitos reservados